苏州美奥口腔开设牙齿美容中心、牙齿美白中心,齿列矫正中心、牙齿种植中心、VIP会员中心、亲宝齿科中心等六大服务项目,依托集团与海外多家口腔医疗机构所建立的学术交流与医生资源合作优势;集团组建了阵容强大的"口腔协会专家委员会"。由国内外数十位口腔硕士生导师、主任医生、教授、副教授担任医生,在疑难杂症转诊、学术交流等多个领域实现合作。
齿科好不好,患者说的算
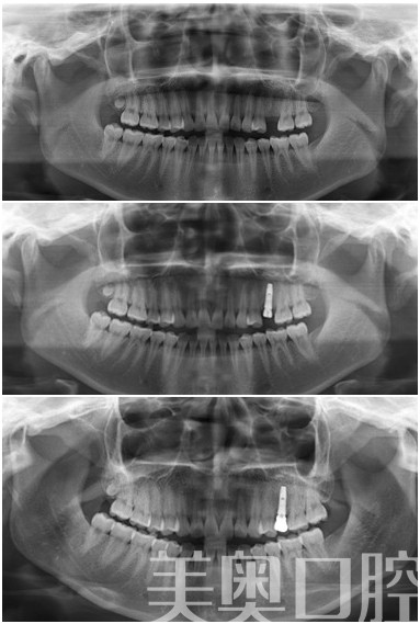
美奥(苏州)5S即刻种植牙

技术推荐:奥齿泰种植牙、瓷睿刻技术
患者感受:我种牙很顺利的,种时一点也不痛,后来挂了一次水防止发炎,但实际上没有问题。恢复得也好。不是种植问题。现在美奥口腔还是会定期给我联系,咨询牙齿的使用情况以及如何保护,这点我很满意。
美奥点评:奥齿泰种植牙是比较经济的一款种植牙系统,价格容易接受,但是瓷睿刻技术是一种即刻修复技术,造价比较昂贵,对于时间充裕的患者,可以选择普通的全瓷冠来修复。
医生推荐:权圣凤 【医生信息】
扩展阅读:瑞士ITI种植牙、德国费亚丹种植牙、无菌手术室、瓷睿刻技术
美奥(苏州)冰晶陶瓷托槽牙齿矫正

技术推荐:美奥冰晶陶瓷托槽矫正技术
患者感受:刚带上的是牙齿有一点酸,大概两天之后就消失了这种感受,基本上不注意的话看不到我的矫正,就我自己来说,还是很满意这种材料的矫正。
美奥点评:传统矫正的钢牙铁齿又是现在人不喜欢的,而隐形牙套的价格又是很多患者纠结的因素,因此冰晶陶瓷托槽成为了选择方式。价格上的适中,又兼顾美观。越来越多的患者愿意接受这种矫正方式。
医生推荐:张丽 【医生信息】
扩展阅读:美奥全透明隐形矫正、传统弓丝矫正、美奥舌侧正畸术。
美奥(苏州)全瓷冠牙齿修复

技术推荐:二氧化锆全瓷冠、美奥Sirona Cerec椅旁修复系统
患者感受:相当满意结果,现在谁都不相信我这颗牙是假牙,大老爷们就不用弄的那么白,现在刷牙,吃饭什么都正常的。
美奥点评:这个没啥能说的了,都在图上,如果实在要说,这位亲,下次来做个牙齿美白吧。
扩展阅读:美奥全瓷冠修复、美奥瓷睿刻修复系统、瓷贴面修复技术、钴铬烤瓷牙。

文中案例,属患者真实写照,感谢患者同意使用在美奥官网
版权 请勿盗用